HI homepage

healthcare money economics dollar stethoscope acquire merger

In April, the news website had declared radiology the No. 2 highest paid specialty, but it's now revising the numbers to correct inaccuracies in the statistical model. 

istock-1359148358.jpg

Co-founders Alan Alexander, MD, MSc, and Brian Tsui, MD, officially kickstarted the company this month after two years in “stealth” mode. 

AI businessman

Under the agreement, three affiliates of the Heritage Provider Network will reimburse RadNet for its Enhanced Breast Cancer Detection program. 

Thumbnail

Though trainees may have legitimate reasons to organize, imaging leaders believe the move could pose harm for both programs and residents themselves. 

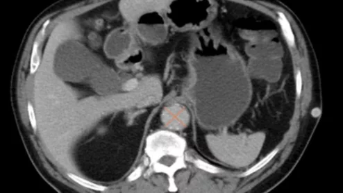
liver cancer

The added indications make the treatment the first Y-90 therapy approved for both unresectable hepatocellular carcinoma and metastatic colorectal cancer of the liver.

rebrand name change marketing

Leaders with the Raleigh, North Carolina-based radiology group said the change comes as the practice continues pursuing expansion through "de novo" imaging centers. 

Innovation at work

As radiology departments across the US continue to navigate the complexities of the current imaging market, including disruptions in supply chains and increased demand for CT contrast media, one constant remains: the need for reliable, quality supply partners to help sustain patient care. 

Sponsored by Bayer

Around the web

Thanks to AI, clinicians can use mammograms to do a lot more than identify signs of breast cancer. Researchers explored data from nearly 50,000 patients, presenting their findings in Heart.