HI homepage

Medicare money payment

The bill also includes some $1 trillion in Medicaid cuts, with nearly 12 million kicked off insurance, drawing criticism from the American Medical Association and hospital lobbying groups. 

scanner money radiology dollar MRI CT payment compensation

Experts believe the data signal a continuing shortage of physicians across radiology and other specialties. 

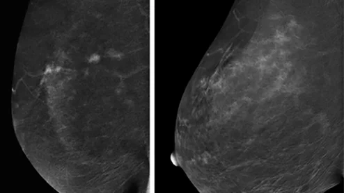
Interval breast cancer rates on the rise.

Among 1,600 U.S. adults surveyed, about 49% said they know that age 40 is when women at average risk should begin screening. 

Anchorage Alaska

Based in Anchorage, the state’s largest community, the 25-year-old practice employs 20 board-certified radiologists delivering diagnostic and interventional services. 

doctor comparing the costs of different medical treatments

Although most radiology organizations agree that [18F]FDG PET/CT can provide valuable information in these patients post-treatment, their recommendations differ on its use.

Medicare Advantage Part C clipboard payment

MGMA and others who are part of the “Regulatory Relief Coalition” are urging Congress to continue pushing forward with the Improving Seniors’ Timely Access to Care Act. 

Innovation at work

As radiology departments across the US continue to navigate the complexities of the current imaging market, including disruptions in supply chains and increased demand for CT contrast media, one constant remains: the need for reliable, quality supply partners to help sustain patient care. 

Sponsored by Bayer

Around the web

Thanks to AI, clinicians can use mammograms to do a lot more than identify signs of breast cancer. Researchers explored data from nearly 50,000 patients, presenting their findings in Heart.