HI homepage

shocked surprised social media post defamation

The LLM’s responses may be misleading in certain situations, which could pose problems for patients who trust the medical advice it provides.

Thumbnail

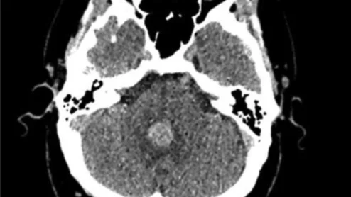
New data highlight the significance of tau-positive imaging in the progression of Alzheimer’s disease. 

Thumbnail

By identifying these structural changes prior to the onset of symptomatic neurodegeneration, providers may be able to initiate preventive therapies sooner.

artificial intelligence AI explainable ethical responsible

The American Medical Association passed a resolution at its recent annual meeting seeking to “maximize trust” around how these models reach conclusions. 
 

Bristol Myers Squibb

Subsidiary RayzeBio has inked a definitive deal to license the worldwide rights for the drug from Philochem, a Swiss biotechnology firm. 

Thumbnail

A communication error within the system can reportedly cause loss of imaging functionality mid-procedure.

Innovation at work

As radiology departments across the US continue to navigate the complexities of the current imaging market, including disruptions in supply chains and increased demand for CT contrast media, one constant remains: the need for reliable, quality supply partners to help sustain patient care. 

Sponsored by Bayer

Around the web

Thanks to AI, clinicians can use mammograms to do a lot more than identify signs of breast cancer. Researchers explored data from nearly 50,000 patients, presenting their findings in Heart.