HI homepage

healthcare quality imaging appropriateness clinical decision support CDS checklist

For the first time, the ACR Appropriateness Criteria is providing guidance covering staging and follow-up of leukemia, the college said Tuesday. 

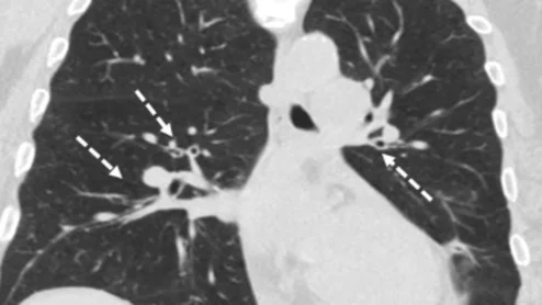
Marijuana may cause less lung damage than cigarettes

Many have touted smoking marijuana as a safer alternative to cigarettes. New imaging data offer clarity on whether this notion is actually true. 

Raj Kedar, MD, MBBS, FACR, vice chair of radiology and the University of South Florida, and chief of radiology at Tampa General Hospital, discusses how radiology and the hospital planned to continue operations, despite likely being cut off due to flooding and outside power loss during hurricanes Helene and Milton in the fall of 2024.

Raj Kedar, MD, chief of imaging, discusses how the hospital planned to continue operations last fall when faced with hurricanes Helene and Milton.
 

GE HealthCare MRI magnetic resonance imaging

Bethlehem-based St. Luke’s University Health Network is the purchaser, seeking to expand access to advanced imaging while reducing scan times. 

Congress Money washington DC legislation coverage payment

UPDATED: The Access to Breast Cancer Diagnosis Act aims to eliminate a financial barrier to imaging access, patient advocates say.  

miami tropical palm trees

Radiology recently rose to the second highest paid specialty in medicine, but new data reveals that readers in some cities enjoy significantly higher compensation. 

Around the web

Thanks to AI, clinicians can use mammograms to do a lot more than identify signs of breast cancer. Researchers explored data from nearly 50,000 patients, presenting their findings in Heart.