HI homepage

business partnership handshake merger acquisition M&A

Formed by HCAP Partners in March, IDS is now launching its "roll-up" strategy by buying First Choice Mobile Radiology Services.  

prostate PSMA

The Australia-based firm said the nine-digit figure represents a 35% year-over-year increase compared to Q1 of 2024 and 9% uptick from the previous quarter. 

United Imaging booth at RSNA. The Chinese company has established a U.S. factor so may be insulated from tariffs against Chinese products. Photo by Dave Fornell

United Imaging and other manufacturers that have established American factories may remain insulated from the trade war.

byoai bring your own GenAI to work

University of Wisconsin researchers analyzed over 39,000 WebEx electronic messages sent in their department in a single year, offering takeaways in Academic Radiology

U.S. Supreme Court building SCOTUS

SCOTUS on April 21 started hearing oral arguments in the high-profile case that could impact cost-free access to CT screening for lung and colorectal cancer. 

Match Day diagnostic radiology University of Arkansas

PGY-2 radiology residents’ stipends ranged from less than $45,000 to over $65,000, with statistically significant differences based on region, according to new survey data. 

Innovation at work

As radiology departments across the US continue to navigate the complexities of the current imaging market, including disruptions in supply chains and increased demand for CT contrast media, one constant remains: the need for reliable, quality supply partners to help sustain patient care. 

Sponsored by Bayer

Around the web

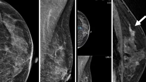
Thanks to AI, clinicians can use mammograms to do a lot more than identify signs of breast cancer. Researchers explored data from nearly 50,000 patients, presenting their findings in Heart.