Arizona Attorney General Kris Mayes had accused the Scottsdale-based radiology group of issuing delayed refunds after allegedly using questionable upfront billing practices.
Julie Szeker, the publicly traded company’s chief legal officer and corporate secretary, submitted her resignation on Jan. 12, according to an SEC filing.
The Salt Lake City-based nonprofit is buying Steinberg Diagnostic Medical Imaging for an undisclosed sum, with the integration to be introduced in phases over the coming year.
Ivenia ABUS Premium was designed to help streamline the supplemental breast ultrasound workloads and enhance diagnoses by improving ease of use and image reproducibility.
There are no standards requiring radiologists to report on the presence of BACs, even though up to half of referring providers have indicated they would prefer to be made aware of the finding.
"We’ve got a pipeline ... and we’re hopeful we can execute and expand the footprint geographically," the company's CFO tells Oppenheimer Conference attendees.
Radiology experts are warning that reimbursements for certain imaging services are not enough to cover expenses, putting specialists in a precarious position.
Medusa has hacked over 300 victims including SimonMed Imaging, hospitals, law firms and manufacturers, according to the federal cybersecurity advisory.
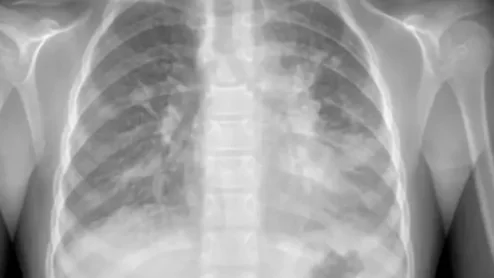
Following a recent surge of mycoplasma pneumoniae pneumonia cases, experts have issued new guidance to help providers quickly identify and treat the condition, with imaging playing a prominent role.
Thanks to AI, clinicians can use mammograms to do a lot more than identify signs of breast cancer. Researchers explored data from nearly 50,000 patients, presenting their findings in Heart.