HI homepage

RSNA Board member Richard Heller, MD, explains issues with Medicare reinburements and the No Surprises Act and Congressional actions that may fix both.

Richard Heller III, MD, RSNA board member and senior VP of policy at Radiology Partners, offers an overview of policies in Congress that are directly impacting imaging.
 

Researchers hope their findings can help pave the way for more targeted therapies for individuals with Crohn's disease.

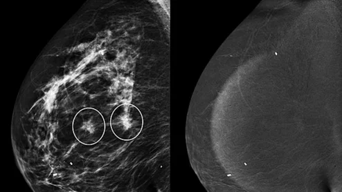
Non-enhancing asymmetries on contrast-enhanced mammography

Patients with asymmetries on CEM typically are recalled for additional views, ultrasound and occasionally MRI. But the extra workup might not be necessary.

money court scale of justice ruling legal settlement

The patient, who was being cared for in the ICU, was not accompanied or monitored by nursing staff during his exam, despite being sedated.

Medical malpractice gavel diagnostic error mistake stethoscope

Radiology advocates have rallied against the measure, worried it could “threaten the stability” of the state’s healthcare system, ACR reported. 

RSNA attendees through bore of the new release Philips CT 5300 scanner at RSNA 2024. Three new CT systems were released at RSNA that included numerous AI enhancements. Photo by Dave Fornell. #RSNA #RSNA24 #RSNA2024

Several key trends were evident at the Radiological Society of North America 2024 meeting, including new CT and MR technology and evolving adoption of artificial intelligence.

Around the web

Thanks to AI, clinicians can use mammograms to do a lot more than identify signs of breast cancer. Researchers explored data from nearly 50,000 patients, presenting their findings in Heart.