HI homepage

RapidAI's opportunistic aortic management tool earns FDA clearance

The solution can assess the aorta on any CT scan that offers visualization of it, including post-treatment and unenhanced noncontrast studies. 

Thumbnail

Although uncommon and typically not life-threatening, hypersensitivity reactions have increased in recent decades alongside the significant rise in CT use. 

The new cardiac PET radiotracer flurpiridaz F-18 is posed to be a major game changer and will likely lead to increased adoption of cardiac PET.

One of the tracer’s more significant advantages is its extended half-life of 109 minutes—significantly longer than other currently available PET MPI imaging agents.

Anthem Elebance blue cross blue shield bcbs

Last month, the insurance giant announced it will begin charging hospitals a 10% administrative penalty for claims that involve docs outside of its networks. 

mergers and acquisitions M&A consolidation puzzle business deal

The country’s largest imaging group is buying Palo Alto, California-based Cognita Imaging Inc., which was founded by scientists at Stanford University. 

nasdaq stock market trading wall street

If the effort succeeds, the Raleigh, North Carolina-based imaging group would soon begin trading on the Nasdaq under the ticker symbol LMRI. 

Innovation at work

As radiology departments across the US continue to navigate the complexities of the current imaging market, including disruptions in supply chains and increased demand for CT contrast media, one constant remains: the need for reliable, quality supply partners to help sustain patient care. 

Sponsored by Bayer

Around the web

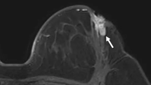
Thanks to AI, clinicians can use mammograms to do a lot more than identify signs of breast cancer. Researchers explored data from nearly 50,000 patients, presenting their findings in Heart.