HI homepage

HCA Florida University Hospital

The consortium of cancer care stakeholders recently held a launch event, with others involved including the ACR, Johnson & Johnson, and drug company AstraZeneca. 

Thumbnail

Bayer AG's former CEO is joining the startup's board, expressing excitement about the prospect of using the platform to develop new drugs.

Thumbnail

New research out of the Washington University School of Medicine in St. Louis is offering new insight into how childhood struggles can affect brain development and connectivity. 

radiologist radiology pay compensation money dollar

Those include the nation’s most populace state, which employs 1,700 members of the specialty earning $339,140 annually. 

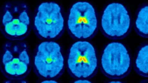
molecular imaging study on brain connections in obese individuals

New research, presented at SNMMI 2023, details how the brains of obese individuals differ from those who maintain a healthy weight.  

radiology reporting EHR health record CDS AUC

Cleveland Clinic scientists believe their research findings could have “broad and far reaching” implications for the specialty. 

Innovation at work

As radiology departments across the US continue to navigate the complexities of the current imaging market, including disruptions in supply chains and increased demand for CT contrast media, one constant remains: the need for reliable, quality supply partners to help sustain patient care. 

Sponsored by Bayer

Around the web

Thanks to AI, clinicians can use mammograms to do a lot more than identify signs of breast cancer. Researchers explored data from nearly 50,000 patients, presenting their findings in Heart.