HI homepage

Thumbnail

Other imaging-related startup companies recently raising $4.9M or more include Altis Labs, BrainTale, Leadoptik and Hypervision Surgical. 

lung cancer screening

Patients with Lung-RADS 4A findings who spoke with a clinician by phone were three times more likely to see things through, experts wrote in JAMA Network Open

Thumbnail

Meanwhile, the agency has removed radiology provider Envision Healthcare from the same list following its recent bankruptcy filing.

Thumbnail

The boost comes after the Los Angeles-based imaging center chain recently closed a $259M public stock offering, with a sizable chunk earmarked for expansion initiatives. 

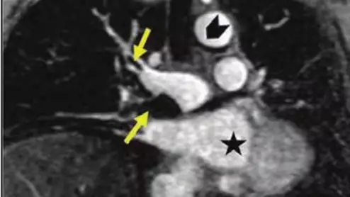
MRA for pulmonary embolus

The modality switch became especially important during the iodinated contrast shortage of 2022 when clinics were forced to deploy mitigation tactics as a means of preserving their contrast supply. 

ChatGPT large language models radiology health care

Large language models could have feasibility in the future as clinical support tools that triage patients for imaging services—with additional updates and more training, of course.

Innovation at work

As radiology departments across the US continue to navigate the complexities of the current imaging market, including disruptions in supply chains and increased demand for CT contrast media, one constant remains: the need for reliable, quality supply partners to help sustain patient care. 

Sponsored by Bayer

Around the web

Thanks to AI, clinicians can use mammograms to do a lot more than identify signs of breast cancer. Researchers explored data from nearly 50,000 patients, presenting their findings in Heart.