HI homepage

Thumbnail

The study represents the largest and most comprehensive investigation of contrast-associated acute kidney injury in patients with cancer. 

Thumbnail

There are now more than 200 independent medical imaging AI software vendors, with 73% of the funds concentrated among the top 25. 

Vanderbilt University Medical Center

Also, lung cancer-focused Leadoptik scores $5M in seed financing, Hyperfine earns $3M grant to extend research, and Intelerad supports new AAWR-RadEqual partnership. 

The research, published in Stroke and Vascular Neurology, suggests that just four hours of physical activity per week can reduce the significance of a brain bleed.

Thumbnail

This psychological phenomenon describes the notion that people believe they can make better predictions or decisions once they have been exposed to new information on the subject, often causing them to overestimate their own abilities. 

artificial intelligence federal regulation

The Find it Early Act has support from both political parties, alongside the American College of Radiology and journalist/cancer survivor Katie Couric.

Innovation at work

As radiology departments across the US continue to navigate the complexities of the current imaging market, including disruptions in supply chains and increased demand for CT contrast media, one constant remains: the need for reliable, quality supply partners to help sustain patient care. 

Sponsored by Bayer

Around the web

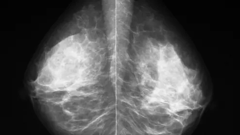
Thanks to AI, clinicians can use mammograms to do a lot more than identify signs of breast cancer. Researchers explored data from nearly 50,000 patients, presenting their findings in Heart.