HI homepage

job interview market

The radiographer profession, for one, hit an "all time high" in 2023, with 18.1% of actively recruited positions sitting unfilled, the ASRT reported. 

Thumbnail

The mid-market-sized Growth Fund has hired advisors and is now gauging interest from potential buyers, according to a recently published report. 

profits revenue finance money

PET/CT saw the biggest gains, up almost 21% year-over-year compared to Q1 of 2022, with the group collecting $390M in revenue (up 14%). 

breast cancer screening mammography

The draft update marks a shift from the task force's previous guidelines, which had endorsed screening beginning at age 50.

ChatGPT chatbot

“Healthcare is going to change. Writing is going to change. Research is going to change. I’m just trying to publish now and show it so people can know about it and explore more.” 

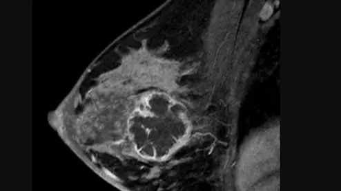
Sagittal images from breast MRI in a 36-year-old woman with an invasive ductal carcinoma. Image from pre-chemotherapy contrast-enhanced T1-weighted MRI shows a round, rim-enhancing mass. This  subtraction image shows the maximal diameter of the mass was measured up to 5.4 cm. Read more. RSNA image. What does breast cancer look like?

Researchers suggested these findings could be used as a noninvasive tool in creating more personalized treatment options for patients facing a cancer diagnosis that is invasive in nature. 

Innovation at work

As radiology departments across the US continue to navigate the complexities of the current imaging market, including disruptions in supply chains and increased demand for CT contrast media, one constant remains: the need for reliable, quality supply partners to help sustain patient care. 

Sponsored by Bayer

Around the web

Thanks to AI, clinicians can use mammograms to do a lot more than identify signs of breast cancer. Researchers explored data from nearly 50,000 patients, presenting their findings in Heart.