HI homepage

Medicare money payment

James McGuckin, MD, allegedly submitted more than 500 false claims for unnecessary vascular procedures between 2016 to 2019, the DOJ said.

breast ultrasound biopsy

Artificial intelligence applied to portable breast US can reduce about half of unnecessary referrals for benign lesions, experts wrote in Radiology

Thumbnail

Richard E. Heller, MD, MBA, the company's associate CMO for health policy and communications, detailed his thoughts in a recently published editorial.

Thumbnail

As artificial intelligence continues to cement itself into radiology workflows, a new analysis offers a detailed look at how radiology programs are adapting curriculum to reflect the impending changes. 

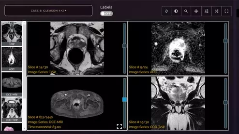
Learning app improves reader performance for prostate MRI

Experts involved in the app’s creation suggested that because it was designed to mimic real life, its use among emerging radiologists could potentially help address the issue of subjectivity and reader variability in interpreting mpMRI scans of the prostate.

mir_ai_for_qa.png

Radiologists interpreting screening mammograms may be especially susceptible to falling victim to automation bias, as these exams are repetitive in nature.

Innovation at work

As radiology departments across the US continue to navigate the complexities of the current imaging market, including disruptions in supply chains and increased demand for CT contrast media, one constant remains: the need for reliable, quality supply partners to help sustain patient care. 

Sponsored by Bayer

Around the web

Thanks to AI, clinicians can use mammograms to do a lot more than identify signs of breast cancer. Researchers explored data from nearly 50,000 patients, presenting their findings in Heart.