HI homepage

Thumbnail

Despite being widely praised by many of its users, ChatGPT recently left much to be desired by experts who compared the chatbot’s medical writing alongside that of seasoned professionals.

Thumbnail

IT experts have used a mix of robotic process automation, AI and machine learning to fuel the new PA process. 

growth.jpg

Meanwhile, credit analysts are issuing caution around the California-based practice’s aggressive, debt-fueled growth strategy. 

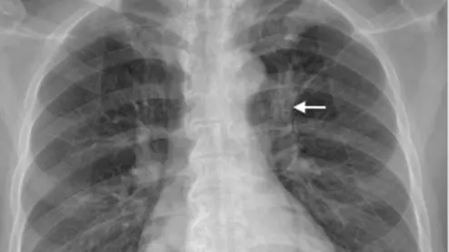
lung cancer imaging features associated with worse outcomes following missed diagnosis

Features pertaining to location, density and superimposed structures were recently found to be associated with poorer outcomes for patients who initially had their lung cancer overlooked on radiographs.

breast radiologist breast cancer mammography

Among vulnerable women with BRCA1/2 mutations, about 14% never received this vital exam after the rejection, MSK researchers reported.

Thumbnail

New data published in the American Journal of Roentgenology details the performance of a deep learning model known as BERT, short for Bidirectional Encoder Representations from Transformers.

Innovation at work

As radiology departments across the US continue to navigate the complexities of the current imaging market, including disruptions in supply chains and increased demand for CT contrast media, one constant remains: the need for reliable, quality supply partners to help sustain patient care. 

Sponsored by Bayer

Around the web

Thanks to AI, clinicians can use mammograms to do a lot more than identify signs of breast cancer. Researchers explored data from nearly 50,000 patients, presenting their findings in Heart.