HI homepage

The European Society of radiology European Congress of Radiology (ECR) 2023 meeting. Image courtesy of ECR

Bhvita Jani, research manager at the healthcare market analysis firm Signify Research, shares noteworthy happenings from the ECR expo floor.

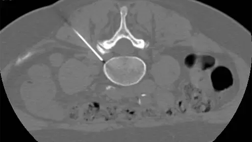
pulsed radiofrequency for sciatica

In PRF procedures, a probe is used to intermittently apply energy directly to the dorsal root ganglia, which is often where pain and neurologic symptoms associated with sciatica originate.  

Thumbnail

Researchers at the University of California Los Angeles combined multimodal brain MRIs with clinical and personal data from 183 men and women to identify sex-specific brain signatures that could be indicative of what causes a person to develop obesity.

mechanical ventilation for covid

Most patients who received mechanical ventilation for COVID-19 at a busy European hospital not only survived but also showed no scarring or thickening on lung CT at two years post-discharge.

Brain imaging artificial intelligence is a primary area of concentration for AI because oif the critical nature of fast detection and treatment for patients. This is an example of the AI applications displayed by third-party advanced visualization vendor TeraRecon at RSNA 2022.

Radiology makes up the vast majority of FDA-cleared AI algorithms, but with minimal or no reimbursement, hospital administrators may ask whether AI’s value justifies its expense.

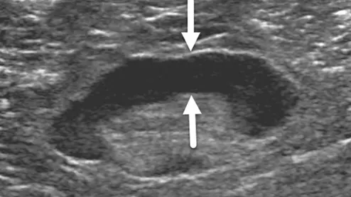
Experts recently questioned the necessity of scanning the axilla region during diagnostic breast ultrasound, as new data indicate that it is minimally beneficial for cancer detection. 

Innovation at work

As radiology departments across the US continue to navigate the complexities of the current imaging market, including disruptions in supply chains and increased demand for CT contrast media, one constant remains: the need for reliable, quality supply partners to help sustain patient care. 

Sponsored by Bayer

Around the web

Thanks to AI, clinicians can use mammograms to do a lot more than identify signs of breast cancer. Researchers explored data from nearly 50,000 patients, presenting their findings in Heart.