HI homepage

venture capital corporate suit business corporatization

Investors continue to pour funds into radiology and other segments of medicine, seeking shelter from volatility seen elsewhere.

Thumbnail

Children included in the assessment displayed several concerning neurological MRI findings shortly after their birth, including acquired microcephaly, severe parenchymal atrophy and cystic encephalomalacia. 

mergers and acquisitions M&A puzzle

“Crystal Run has long recognized that the fee-for-service reimbursement model is broken," the practice's CEO said in an email to employees.

Example of the four types of breast tissue density. The density of fibroglandular tissue inside the breast impacts the ability to easily see cancers. Cancers are very easy to spot in fatty breasts, but are almost impossible to find in extremely dense breasts. These examples show craniocaudal mammogram findings characterized as almost entirely fatty (far left), scattered areas of fibroglandular density (second from left), heterogeneously dense (second from right), and extremely dense (far right). RSNA

When tested, the model achieved a performance comparable to that of human experts.

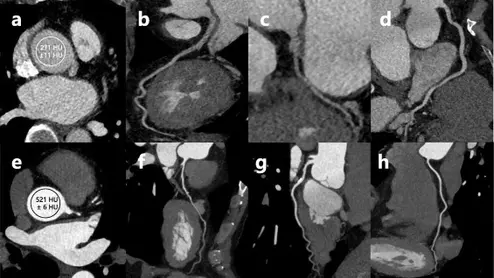
CCTA with patient-specific versus fixed post-trigger delay

New research compares peak enhancement timing of a patient-specific post-trigger delay and a fixed delay during CCTA.

Coalition for Health AI

Having identified an “urgent” need for guardrails to keep healthcare AI from veering into an avoidable ditch, the Coalition for Health AI has put together a 24-page guide applicable to numerous groups of stakeholders.

Innovation at work

As radiology departments across the US continue to navigate the complexities of the current imaging market, including disruptions in supply chains and increased demand for CT contrast media, one constant remains: the need for reliable, quality supply partners to help sustain patient care. 

Sponsored by Bayer

Around the web

Thanks to AI, clinicians can use mammograms to do a lot more than identify signs of breast cancer. Researchers explored data from nearly 50,000 patients, presenting their findings in Heart.